TEL. 070-9150-1059
平日10:00-20:00|土日10:00-17:00|予約制
HALOカイロプラクティック☆平和島整体院
東京都大田区大森本町2丁目5−13
トライシブ大森本町1階
京急本線 平和島駅 東口徒歩1分

最終更新日:
著者:HALOカイロプラクティック 院長 HARU M.D.
頚性神経筋症候群は、これといった明確な症状や原因がなく、自律神経失調症や慢性疲労、めまい、頭痛、更年期障害といった症状に含まれてしまう場合が多いです。
頚性神経筋症候群は、一般的には「首こり」としてみられています。
主な症状は、慢性的に「肩がこる」「首が痛い」「頭がボーッとする」「発熱」「怠い」「クラクラする」「頭が痛い」「目の奥が痛い」「めまい」「ドライアイ」「動悸」「胃腸障害」「吐き気」「発汗異常」「視力障害」「冷えやのぼせ」「胸部圧迫」「息苦しさ」…等々といった身体的疾患や精神的疾患が続きます。どれも他の病気にも当てはまってしまう症状です。
頻繁に起こる、寝違え、むち打ち、慢性疲労症候群、うつ病、自律神経失調症、めまい、頭痛…等々のうち約60%近くが、この頚性神経筋症候群に当てはまると考えられています。
不定愁訴も、実はこの頚性神経筋症候群であることが非常に多いです。
首周辺には、脳につながる神経や血管があり、首の筋肉の異常は、副交感神経(自律神経系の一部で、身体の修復が主な役割)や血行、脳脊髄液の流動に影響を及ぼします。
人間の頭は、約5-6kgあり、ボーリング玉ほどの重さがあります。そんな重い頭を支える首の筋肉は、横になって寝ている状態以外では常に緊張しています。デスクワークやスマホなど見るときなど頭を下に向ける状態では、頭の重さで首にかなり負荷がかかることになってしまいます。
長い間、そのような姿勢を続けていると、首周りの筋肉はガチガチに硬くなってしまうのは当然です。ガチガチになった首周りの筋肉が、脳と身体をつなぐ首周りの神経や血管を圧迫することによって不調が現れるとしても、不思議ではありません。
首周りの筋肉がかたくなると、頭部・脳へ流れる血流やリンパの流れ、脳脊髄液の還流が悪くなります。血行が悪くなると、脳への酸素や栄養などの供給が滞ります。また、首には自律神経などの多くの神経が通っていますが、それらの神経をも圧迫して障害を起こしてしまいます。

頚性神経筋症候群の主な原因は、生活習慣による姿勢の悪さです。
頭の重さが首にかかるような姿勢を長時間続けている、冷房などにより首を冷やしやすい環境にいる、女性など首が細く頭の重さを支えるのが大変な体型や身長が高く下を見ることが多い、首に力が入るような緊張が長時間続く、首を含む身体の筋肉が休まらないような疲労が続く、むち打ちや打撲など首に衝撃を受けたりする、、等々が挙げられます。
最近では、携帯電話、スマートフォン、パソコンなど、長時間画面を見ていたり、下を向いていたり、指を頻繁に使ったりする中で、目の使いすぎや姿勢の悪さから首がこり、さらに慢性化すると頭痛やめまい、吐き気、疲労感などを感じるようになります。
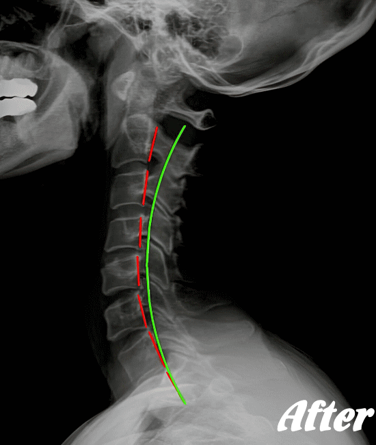
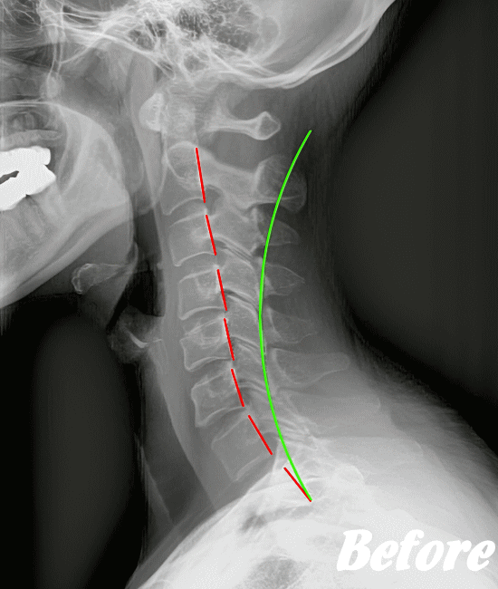
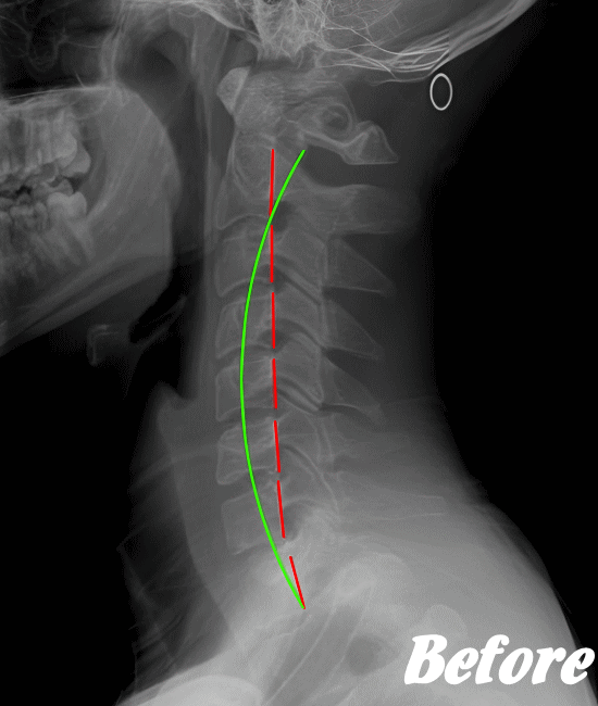
ストレートネックも、首に負担がかかりやすいので、注意が必要です。

病院では、まず問診票で首こり状態を診断します。症状により、レントゲンやCT、MRI、血液検査などを行います。特に他の病気の可能性が見つからないようであれば、頚性神経筋症候群と診断するようです。
ただ、症状に対する原因が不明の場合は、「自律神経失調症」と診断されることもあります。
治療は主に、薬や筋肉を弛緩させる注射、鍼、運動療法といった手段をとることが多いようですが、根治とまではなかなかいかないようです。
筋弛緩の注射も一時的な解消にしかならず、注射回数を増やせば症状が悪化することも考えられます。マッサージなどで、強く圧すのも良くありません。気持ちよさは感じるとは思いますが、筋肉を硬くしてしまったり、牽引と同様、毛細血管や神経を傷つける危険性も高いのです。
![]() |
← |
Instagramにも施術動画を多く挙げています。どのような施術かご参考までにご覧ください。 |
![]() |
![]() |
HALOカイロプラクティック☆平和島整体院では、首の筋肉をゆるめていくため、まずは骨盤(特に仙腸関節)を調整、背骨(腰椎、胸椎、頚椎)を調整、そして肩甲胸郭を調整します。
そして、肩甲胸郭、つまり肩甲骨の動きをよくし、肋骨を広げ、丸まった背をのばし、胸が大きく広がるように調整します。肩甲骨には首の筋肉がつながっているので、調整は必須です。
頚性神経筋症候群は、速効矯正・即効施術の【体の整体】の適応になります。
状態に応じて、頭蓋骨を調整し、身体をリラックスさせます。基本的に、頚性神経筋症候群は姿勢の悪さに起因するところが大きいので、深く呼吸できる身体に改善していくことで、首のコリは取れていきます。
もし、どこに行っても一向に良くならないとお悩みなら、是非、HALOカイロプラクティック☆平和島整体院へお気軽にご相談ください。
![]() |
![]() |
![]() |
![]() |