TEL. 070-9150-1059
平日10:00-19:00|土曜10:00-17:00|予約制
HALOカイロプラクティック☆平和島整体院
東京都大田区大森本町2丁目5−13
トライシブ大森本町1階
京急本線 平和島駅 東口徒歩1分

最終更新日:
著者:HALOカイロプラクティック 院長 HARU M.D.
首こりや首痛、腕から手の痛みや痺れの原因の一つに『頚椎症』があります。
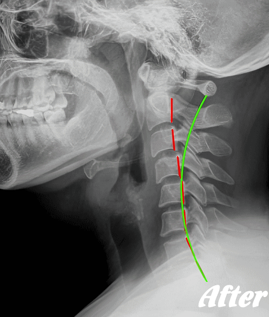
頚椎症とは、首の骨(7つの椎骨からなる頚椎)が、老化、過度のスポーツ、事故、悪い姿勢などのさまざまな要因によって、変形したり、劣化したり、棘が形成されたり、ズレたりするため、神経、脊髄、血管が圧迫され刺激を受けて、首や肩、腕や手に痛み(凝り)、痺れなどが出る疾患です。
中高年以降(主に40歳以降)の方に多く発症し、レントゲンやMRI検査などから診断されます。

大きく分けて3つあります。
① 首や肩甲骨付近の痛みや肩こりです。首を動かすと痛みが増します。痺れは見られません。「変形性頚椎症」が考えられます
② 片側の首から肩、腕、手にかけての痛みや痺れ、力が入れにくいといった症状です。「頚椎症性神経根症」が考えられます。
③ 両側の手足が痺れたり、動かしにくくなります。悪化すると、指が動かしにくくなったり、歩行に支障がでたり、排便排尿に異常をきたすようになります。「頚椎症性脊髄症」が考えられます。
変形性頚椎症は、悪姿勢、老化、スポーツ、事故による損傷、長年の生活習慣などによって頚椎が変形し、首、肩、腕、指などに痛み(凝り)を感じるようになります。
この変形性頚椎症から、状態が悪化していくと「頚椎症性神経根症」「頚椎症性脊髄症」になります。
頚椎症性神経根症は、頚椎の変形などによって神経根が圧迫されたために、首、肩、腕、指などに痛み(凝り)、痺れ、脱力を感じるようになります。症状は多くの場合、片側に現れます。
頚椎症性脊髄症は、頚椎の変形などによって脊髄が圧迫されたために、肩、腕、指、足などに痛み(凝り)、痺れが生じたり、手先の細かい作業、例えば、ボタンかけや箸を持つ動作が思うようにできなくなるような運動障害が生じます。
また、歩行がぎこちなくなったり、足を前に出しにくい、速く歩けないなどの歩行障害が生じる場合もありますこれらの症状は多くの場合、両側に現れます。
さらに、場合によっては、顔面麻痺、排便排尿障害が生じることもある症状です。

頚椎症の症状をまとめると
・首、肩、背中の痛み(凝り)
・腕、指の痛み、痺れ
・冷え
・感覚麻痺
・運動障害
・歩行障害
・排尿障害
・血行障害
・指の変形
レントゲン撮影やCT、MRIなどにより診断します。頚椎症と診断されると、主に以下の治療が行われます。基本的には、保存療法がおこなわれます。
・姿勢の改善
・薬物療法(性消炎薬・ステロイド剤など)
・頚椎固定用のカラーの装着
・温熱療法
・レーザー治療
・低周波
・頚椎牽引
・手術
長引く神経根症や脊髄症の場合は、手術が検討されます。
頚椎症が疑われる場合、自己判断で治療すると症状が悪化する恐れがありますので、専門医の診断を受けた上で、上記のような治療を選択することをお勧めします。
![]() |
← |
Instagramにも施術動画を多く挙げています。どのような施術かご参考までにご覧ください。 |
![]() |
![]() |
HALOカイロプラクティック☆平和島整体院では、骨盤から背骨全体(腰椎、胸椎、頸椎)を調整し、肩甲骨の動きを柔軟にし、首周りの筋肉をゆるめ、頚椎の骨と骨との間隔を広げ、動きを滑らかにして、首の負担を軽減させながらバランスを整える施術を行います。
頚椎症は、速効矯正・即効施術の【体の整体】の適応になります。
施術で痛みや痺れがとれても、普段から姿勢を気を付けていただかないことには、再発する可能性は高いので、セルフケアは是非行ってください。
もし、いつまで経っても一向に回復の兆しが見られないとお悩みなら、是非、HALOカイロプラクティック☆平和島整体院へお気軽にご相談ください。
![]() |
![]() |
![]() |
![]() |