TEL. 070-9150-1059
平日10:00-19:00|土曜10:00-17:00|予約制
HALOカイロプラクティック☆平和島整体院
東京都大田区大森本町2丁目5−13
トライシブ大森本町1階
京急本線 平和島駅 東口徒歩1分

最終更新日:
著者:HALOカイロプラクティック 院長 HARU M.D.
腰痛で毎日多くの方が来院されます。なかには朝、顔を洗おうと中腰になった途端に激痛が起こり、動けなくなり救急車で運ばれたという方もいます。
実際にこれほど極端でなくとも、世界の人口の80%の人は、少なくとも一生の間に一度は腰痛を経験すると言われています。
では、なぜこのように多くの人が腰痛になやまされるのでしょうか?腰痛の原因はさまざまで、なかには内臓の病気や結核菌の感染などが原因となるときもあります。しかし、一番多い原因は、筋肉や脊椎(背骨)、椎間板などのいわゆる運動器が原因で起こる場合です。
人間の生活様式では誰しも腰痛になる原因を抱えており、特に腰痛になりやすい仕事は「長時間座り続けるデスクワーク」「ドライバー」「長時間の立ち仕事」「重いものを持つ仕事」です。重いものを持ち上げる仕事は腰に直接負担がかかりますが、同じ姿勢を長時間とっている場合も、腰に疲労がじわじわと溜るため負担がかかります。

腰痛に限らず痛みというものは、集中力や精神的な落ち着きを奪ってしまいます。周りに優しくできなくなったり、仕事でミスが多くなったり、常にイライラしたり、不安になったり、パニックになったり…と、痛みの影響が他の所へ広がってしまいます。
つまり、痛みは本人だけの問題ではなくなってしまうのです。
加えて近年、腰痛を訴え病院を受診する患者の8割以上は、原因不特定の腰痛だとも言われています。原因が特定できないと病院では治療できず「とりあえず、お薬を飲んで…、湿布を貼って…、リハビリで…、適度に運動して…」といった処置にならざるを得ません。

■ 筋肉疲労による腰痛
歩いたり、物を持ったりなどの特定の行動で腰痛が起こり、安静にしていると痛みがおさまります。骨盤などの骨や、腹筋などの筋肉が腰痛の原因になっていることが多いです。
これは、筋肉の疲労などによって身体を支える力が弱まっているのに、身体を曲げたり伸ばしたりなどの負荷を更にかけるため、筋肉に疲労が溜まり、腰にまで負担をかけてしまっている可能性が高いです。
まず、無理をせず安静にして疲労を取ることが大事です。腰を冷やすか温めるかは、自身が気持ち良いと感じる方を行えば良いです。マッサージや鍼灸なども改善効果があるかもしれません。
■ 内臓疾患による腰痛
安静にしていても腰痛が起こったり、血尿や腹痛を伴うような場合は、内臓のトラブルが原因で腰痛になっている可能性があります。
腰痛を起こす内臓の病気としては、胃、腎臓、脾臓などの炎症、尿路結石、腹部大動脈瘤、子宮内膜症、腹部や腰部の腫瘍などがあります。
当然ながら、医療機関にて内臓疾患を治療することを最優先にしてください。
■ 骨/関節の歪みによる腰痛
通常、二足歩行の人間は上半身の重さを、腰椎(腰の骨)と骨盤で支えています。そのため、身体が歪んでしまうと上半身の重さを支えきれなくなり、腰椎が起こります。
生活、加齢、仕事において、腰椎が歪む(腰部の椎間板と椎間関節におけるズレや可動域の消失、椎間板や椎間関節の変性による神経根や後根神経節の圧迫や刺激)確率は非常に高いです。
身体の歪みによる場合は、整体やカイロプラクティックなどで骨/関節などを矯正すれば、改善する可能性が高いです。
■ 腰痛が悪化した病気や病気
椎間板ヘルニア・椎間板症・分離症・分離すべり症・筋・筋膜性腰痛・脊柱管狭窄症・圧迫骨折・側弯症…などがあります。
整体やカイロプラクティック、マッサージや鍼灸などで改善することもありますが、医療機関での治療を必要とすることもありますので、一度、医療機関での検査をおすすめします。
その他、疲労骨折や圧迫骨折、糖尿病、ストレス、うつ病、癌…等々による腰痛もあります。


ドイツの研究機関によると、慢性頭痛をもっている人は、頭痛がない人より頻繁に腰痛を発症する可能性があると示唆されました。その数は約13倍から18倍とかなり大きな差です。
イギリスのウォーリック大学の研究者が掲載した論文によると、慢性頭痛と腰痛の両方を持っている患者は、頭痛か腰痛のどちらかしか持っていない患者の2倍以上の人数がいると述べています。因果関係の特定には至っていませんが、更に研究が進むと考えられます。
腰に原因がみつからない腰痛も、もしかすると頭痛を治せば治る可能性があります。
腰痛と頭痛が同時に発症した場合は、頭痛…特に「緊張型頭痛」を疑ってみると良いかもしれません。
その他、腰痛と頭痛が同時に発症するケースとして、自律神経の乱れや女性なら生理痛なども考慮しなくてはなりません。
X線やMRI、CTといった画像検査にて特に疾患がなければ、基本的に外科的手術を行わない保存療法が行われます。
<薬物療法>:鎮痛薬など薬を用いて痛みを和らげる療法
<装具療法>:コルセットなどを装着する療法
<物理療法>:冷やしたり温めたりする療法
<運動療法>:運動することで機能異常を改善させる療法
<電気治療>:電気的刺激を流して鎮痛効果を与える療法
<超音波治療>:深部に細かい振動を与えほぐす療法
<牽引療法>: 機械を用いて腰部を牽引する療法
多くの場合、上記のいずれかが行われるはずです。
特筆すべきは、この数年で新しい治療法が欧州を中心に広がっていることです。この新しい治療法は「フローレンス法」と「セルゲル法」と呼ばれています。
フローレンス法は、加齢や姿勢などで腰椎と腰椎との間のスペースがなくなり腰の神経を刺激/圧迫して起こる腰椎に対し、スペンサーと呼ばれる小さな器具を埋め込むことによって、腰椎と腰椎(上下の棘突起)との間を保つものです。日帰り手術でできる患者の体に負担の少ない治療法です。
セルゲル法も同様に、椎間板が潰れて腰椎と腰椎との間のスペースが狭くなってしまい、神経が圧迫されて起こる腰痛に対し、注射針のようなものを椎間板に刺し、特殊な液体状のものを注入します。注入された液体が椎間板を形成し腰椎間のスペースを広げるものです。こちらも日帰りでできる治療です。
このフローレンス法もセルゲル法も特に、脊柱管狭窄症や腰椎すべり症のような腰痛に適応されることが多く、日本でも行っている医療機関が増えてきています。
慢性腰痛において、運動療法は薬物療法や保存療法よりも有効であると医学的にも認められているため、積極的に運動してほしいところです。ただし、急性腰痛においては、ヘルニアや狭窄症といった原因が隠れている場合もあるため、運動療法には注意が必要です。

6種類の体操からなり、理学療法の観点から見た腰痛の運動療法における基本です。
① 仰向け寝で両膝を立てて少し開く。両手を伸ばし膝の上を滑らすようにして、ゆっくりと上半身を起こす。難しければ、肩甲骨が持ち上がったら静止し、その姿勢を保持してもよい。
② ①と同じ仰向け寝から、腹筋に力を入れ腰椎部(腰の骨)を床に押しつける。次に、背中は平らにして床につけたまま、お尻の筋肉に力を入れてお尻を床から離すように上へ持ち上げる。
③ ①と同じ仰向け寝から、両膝を曲げたまま胸のところに引き寄せる。または、片膝を曲げて両手で抱え、ゆっくりと胸に引き寄せる。
④ 仰向け寝の姿勢で片膝を立て、その位置から膝が真っ直ぐになるように脚を持ち上げる。足首は伸ばさない。左右交互に繰り返す。
⑤ 両肘を伸ばして両手を床につけ、一方の膝は曲げ、他方の膝は伸ばしたまま体重を斜め前下へ移す。
⑥ 両足を10 cmくらい開いて立ち、首、胸、腰の順に前屈しながら両膝を曲げてしゃがむ。そして、腰の筋肉が十分に突っ張るまで身体を丸める。このとき、両方の踵は床につけておく。

上記のウイリアムス体操が、腰の屈曲運動を主体にしているのに対し、マッケンジー体操は腰の伸展運動を主体にしています。
① うつ伏せ寝でリラックスする。
② 両肘を立てる。この時、首、肩、腰、お尻には力を入れずリラックスする。
③ 肘を伸ばして体を支え、上半身を持ち上げる。この時、顎を引いて胸を張り、腰に意識を集中させ、お尻に力を入れず、全身リラックスすることが大事。10秒間静止する。
これらの一連の運動を10 回繰り返す。ただし、腰を伸ばすことにより症状が悪化する可能性もあるため、運動時に痛みを感じるようであれば中止すること。

①【尻尾たくし上げ運動】上記ウイリアムス体操の②とほぼ同じ。
②【腹筋強化運動】仰向け寝で両膝を立て、背中を真っ直ぐにして、20cmほど上半身を持ち上げる。両手は頭を支えるようにし、胸から持ち上げるようにする。
③【背筋の筋力強化運動】背中側で両手を握り、その両手を支点として背骨を伸ばす。背筋が主なので首や肩は過度に伸ばす必要はない。
④【大腿四頭筋運動】仰向け寝から、両足を10cmほど天井方向へ持ち上げ、20秒ほど静止する。良い姿勢を保持するためには脚の筋力強化が重要という理由で、大腿四頭筋訓練が推奨されている。

感覚運動刺激が姿勢や運動の円滑さを増し、緊張した筋肉は弛緩され、弱い筋肉は強化されるとした理論による運動。ステージ 1~4まであり、その中で特徴的なステージ3のバランスボールを使用した運動を紹介。
①【腹部スライド】ボールの上に座り、下部腹筋を緊張させて骨盤を後傾させ、ボールを腰椎で圧迫する。その姿勢を保持し、腹斜筋の運動を増加させるため、ボールからの圧力を対角線上の体幹や両腕の動きでカバーする。
②【ブリッジング】仰向け寝でボールをふくらはぎの下に置き、背中を床から持ち上げるブリッジを行う。腹部をへこませ両脚を伸ばしていきブリッジする。
③【四つ這いポジション】腰椎は支えられ過度に伸びない。
![]() |
← |
Instagramにも施術動画を多く挙げています。どのような施術かご参考までにご覧ください。 |
HALOカイロプラクティック☆平和島整体院では、身体の歪みを矯正することで腰に関連する筋肉の負荷を軽減させて、腰痛改善を図ります。
特に、仙腸関節、股関節、背骨(腰椎、胸椎、頸椎)、膝、足などを丁寧に調整していきます。基本的に、整骨院などのように揉みほぐすようなマッサージは行わず、各関節を矯正する速効矯正・即効施術を行います。
マッサージの場合、その場では多少楽になりますが、すぐに元に戻ってしまいます。骨・関節から矯正/改善させる方が効果大です。
慢性または急性の腰痛は、速効矯正・即効施術の【体の整体】の適応になります。
![]() |
![]() |
![]() |
![]() |
![]() |
![]() |
![]() |
![]() |
ただ、まずは医療機関で検査をし、腰に骨折やヒビがないか、ヘルニアなどがないか、手術を必要とするような疾患が原因でないと診断された後の方が安心安全かと思います。
いつでもHALOカイロプラクティック☆平和島整体院へお気軽にご相談ください。
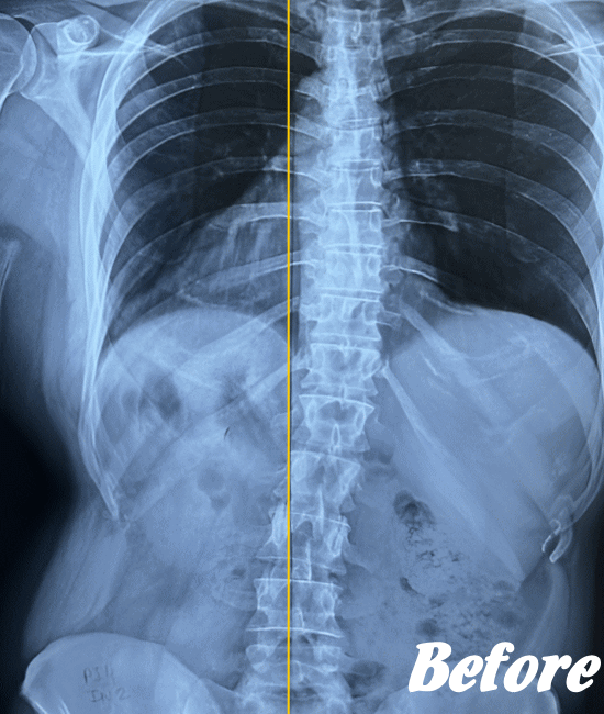
| 施術前(レントゲン) | 施術後(レントゲン) |
|---|---|
![]() |
![]() |
| 施術前(レントゲン) | 施術後(レントゲン) |
![]() |
![]() |
| 施術前(MRI) | 施術後(MRI) |
![]() |
![]() |