TEL. 070-9150-1059
平日10:00-19:00|土曜10:00-17:00|予約制
HALOカイロプラクティック☆平和島整体院
東京都大田区大森本町2丁目5−13
トライシブ大森本町1階
京急本線 平和島駅 東口徒歩1分

最終更新日:
著者:HALOカイロプラクティック 院長 HARU M.D.
緊張型頭痛("筋緊張性頭痛"または"筋収縮性頭痛"とも呼ばれます)は、後頚筋の阻血性筋収縮、いわゆる後頭部辺りの血流を阻害するような肩コリや首コリによって、脳への血流が減ることで血中の酸素や栄養素の不足や疲労物質の排出が妨げられ、頭痛が起こります。肩こり頭痛とも言えます。
原因は様々ですが主に、うつむき姿勢、頭の大きさ、首が細い、頸椎(首の骨)の支持性、低血圧、貧血、ストレス…等々が挙げられます。
なかでも、対人関係などの精神的ストレスや不自然な姿勢による身体的ストレスは、自律神経の働きで神経や筋肉の緊張が高まり血管が収縮するので、緊張型頭痛を引き起こす大きな原因と考えられ、それ故、「ストレス頭痛」とも呼ばれます。
眼鏡レンズの度が合っていない、近視なのに眼鏡を使っていない、ドライアイなのにコンタクトレンズを使用している、パソコンやテレビ、スマホを見過ぎているなど(目のストレス)で、緊張型頭痛が生じることも意外と多いです。
骨盤、腰椎、胸椎、頸椎、顎関節のいずれかがズレていると、首周りが緊張し頭痛を誘発することもあります。
気圧の変化で頭痛になることも多々あります。低気圧時は交感神経の働きで血管が収縮するため、緊張型頭痛が起きやすくなります。
ただ、緊張型頭痛は、心因性頭痛や鬱病による頭痛と同類の頭痛のため、その鑑別が難しいと言われます。
また、思春期の子供の場合、「起立性調節障害」に併発していることも多々ある頭痛です。

緊張型頭痛の発生は、首背面の筋肉が緊張し血流が悪くなることが、大きな原因だと考えます。
主に、首背面の筋肉の収縮による「毛細血管」の圧迫が、緊張型頭痛を引き起こすキッカケになっていると思われます。
本人の自覚の有無を問わず、首こりや肩こりを有しているはずです。
① 毎日そして一日中痛みが続くことが多く(慢性緊張型頭痛)、さらに午後から夕方にかけ痛みが増す傾向があります。ただ、人によっては数時間で頭痛が治まることもあります(反復性緊張型頭痛)。
② 頭痛は後頭部を中心として横(側頭部)へ、そして前(前頭部)へと広がることが多いです。悪化すると、目の奥が痛くなることもあります。
③ 頭痛時には頭蓋周囲に圧痛があり、頭痛の強さや頻度とともに圧痛も強くなります。
④ 頭の圧迫感や締め付け感、たまに頭重感を伴い、吐き気や嘔吐はなく、片頭痛のように身体を動かして痛みが悪化することはなく(逆に、身体を動かした方が頭痛は緩和される)、光か音の過敏症のどちらかを有します。
※ たまに、片頭痛のように脈打つような痛みが出ることもあります。
⑤ 首コリ、肩こり、眼精疲労、フワフワするような目眩、倦怠感…等々の症状を伴います。
基本的に片頭痛と違い、緊張型頭痛の場合は吐き気や嘔吐は伴いませんが、慢性化してしまうと、人によっては吐き気(嘔吐まではしない)を伴なうこともあります。したがって、吐き気の有無だけで緊張型頭痛か片頭痛かを判別するのは難しいかもしれません。
また、緊張型頭痛は身体を動かすと頭痛は緩和されますが、逆に酷くなるようであれば、その頭痛は片頭痛の可能性があります。
病院で処方される薬としては、アスピリン、イブプロフェン、チザニジン、エペリゾンといった筋肉の過剰な緊張を緩め血液循環を促す(血管を拡張する)薬になるはずです。
通常であれば、薬を服用して1~2時間程度で頭痛が治まるはずですが、2時間以内に治まらないようであれば、緊張型頭痛の悪化とみた方が良さそうです。
鬱病に伴う頭痛の場合、緊張型頭痛や片頭痛を併存させていることが多く、頭が重く感じられることが多い上に、手の痺れ、腰の痛み、不眠、耳鳴り、その他…等々の症状をいくつも訴えるケースが多いです。
心因性頭痛の場合、強い頭痛を訴えることが多いのですが、普段の生活は意外とケロっとしていて、特に頭痛で悩んでいるようには見えないことが特徴です。
また、頭痛薬の服用のし過ぎによる「薬物乱用頭痛」に発展するケースも多く、難治性頭痛の多くは、心因性頭痛の可能性があります。
顎関節症の疼痛症状にある顎関節痛や咬筋・咀嚼筋痛が、頭痛(特に、コメカミから側頭部あたり)と感じられることがあります。10歳代半ば頃から増えてきます。
通常、咬筋や側頭筋を1~2kgの力で5秒ほど圧迫して、頭痛が誘発されれば、顎関節症が原因である可能性が高いです。
こめかみ(側頭筋)や頬(咬筋)、耳の下(内側翼突筋)などの痛みは、就寝時や仕事に集中している時、緊張している時に無意識にしている強い嚙みしめ、食いしばり、あるいは歯ぎしりなどが、頭痛の誘因になるといわれています。

緊張型頭痛の一つで、最近増えてきている頭痛が「マスク頭痛」です。
人間は酸素を吸って二酸化炭素を吐く生き物ですので、マスクの中では、自分の吐いた二酸化炭素と新しい酸素を同時に吸っていることになります。
本来であれば、酸素を十分吸えるはずが、マスクのせいで自分の吐いた二酸化炭素を多く含む酸素を吸っているのです。
酸素を十分身体に取り込めないと、いわゆる血中の酸欠状態が起こり、血行不良に陥ります。そうすると、緊張型頭痛と同様、頭が締め付けられるように痛み始めます。いわゆる「マスク頭痛」といわれます。
その他、マスクの長時間着用により、マスクのゴムでの圧迫で、耳の後ろから首につながる筋肉(側頭筋や胸鎖乳突筋など)へ負荷をかけるようになり、緊張型頭痛が発生することもあります。
片頭痛と緊張型頭痛が併発している場合もあります。
毎日頭痛が起きて、頭が締め付けられるような痛みがあり、吐き気や嘔吐なども伴うときは、片頭痛と緊張型頭痛が併発してしまっている可能性が高いです。
この場合、薬による治療は難しく、厄介な頭痛と言えます。
というのも、上記で述べたように、片頭痛は血管が拡張して起こる頭痛ですので、トリプタン系薬剤のような血管を「収縮」させる薬が処方されます。一方、緊張型頭痛は血管が収縮して起こる頭痛ですので、アスピリンやイブプロフェンのような血管を「拡張」させる薬が処方されます。
つまり、片頭痛と緊張型頭痛では薬の作用が真逆になるのです。
片頭痛と緊張型頭痛の併発が生じるのは、おそらく、片頭痛持ちだった人が、日常の中で、精神的および/あるいは身体的ストレスを受け続けた結果、元々の片頭痛に更に緊張型頭痛が上乗せされたからだと推測されます。
病院でも、片頭痛と緊張型頭痛の併発を診断することは難しく、併発していることに気づかないまま、片頭痛、あるいは緊張型頭痛のどちらかに対する薬を服用しても、薬が効かないと思われます。
薬が効かないからと、さらにキツい薬を服用しだすと、薬による頭痛(薬物乱用頭痛)を招いてしまう危険性もあります。
併発していると診断できる病院治療では、まず緊張型頭痛を治してから、片頭痛の治療に入るといった長期戦の治療を行います。
![]() |
← |
Instagramにも施術動画を多く挙げています。どのような施術かご参考までにご覧ください。 |
![]() |
![]() |
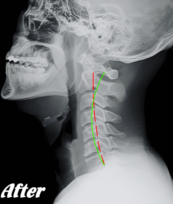
緊張型頭痛/肩こり頭痛の発生は、首背面の筋肉が緊張し血流が悪くなることが大きな原因だと考えられます。そこで、まずは首まわりや肩まわりの筋肉を緩め、潤滑な血行を確保させることを優先に施術します。
そのために、背骨の歪みを整え、肋骨、肩甲骨、首や首の付け根など、血流を阻害している部位の筋骨格をすべて調整します。
もし、どこへ行っても一向に良くならないとお悩みなら、是非、HALOカイロプラクティック☆平和島整体院へお気軽にご相談ください。
頭痛の程度にもよりますが、その場の痛みを取りたいだけであれば、症状が軽ければ1回の施術でも改善が期待できます!
緊張型頭痛/肩こり頭痛は、速効矯正・即効施術の【体の整体】の適応になります。
![]() |
![]() |