TEL. 070-9150-1059
平日10:00-20:00|土日10:00-17:00|予約制
HALOカイロプラクティック☆平和島整体院
東京都大田区大森本町2丁目5−13
トライシブ大森本町1階
京急本線 平和島駅 東口徒歩1分

最終更新日:
著者:HALOカイロプラクティック 院長 HARU M.D.
朝、目が覚めて起き上がろうした時、首に激痛が走り、顔を動かすことが出来なくなってしまったり、目覚めはなんとなく首周辺が重くダルく感じ、朝の支度をしているうちに徐々に悪化、そして頭が動かせなくなるような急性の首痛を一般的に「寝違え(寝違い)」と呼びます。
軽度の場合は、首を動かすにつれて痛みが増していきます。重症な場合は、少しでも動かすと激痛が走るようになります。
寝違えの原因は、寝ている時の「不自然な姿勢」により、肩甲骨から首にかけての筋肉を引っ張り固くしてしまうことで、炎症を起こし痛みを発生させます。

普通であれば、不自然な姿勢は「寝がえり」などで自然な姿勢に戻りますが、泥酔し、寝がえりをうつことなく熟睡してしまったり、枕が合わず、不自然な力を首にかけてしまったりして首(頚部)に負担がかかり炎症を引き起こします。
もちろん、寝違えを繰り返しやすい人の中には、慢性的な肩こりの悪化が関わっている場合もあります。
ただし、強い精神的ストレスを受けたり、内臓の不調があったり、神経系障害の場合もありますので、必ずしも首周辺に原因があるとは言い切れません。
腋窩神経(脇周辺の末梢神経)が圧迫された腋窩神経麻痺によるものだとする説もあります。
寝違えは「放っておけば治る」と思われがちですが、痛めた部分が炎症を起こしている可能性がありますから、肩こりが原因だと思い込み、首や肩のマッサージをしたり、痛みのある部分を温めたり、首をストレッチしたり、 お風呂で長時間温めたりするのは危険です。
応急処置としては、患部のアイシング(冷却)が無難です。
![]() |
![]() |
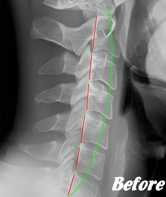
首の障害の一つに「むち打ち症」があります。「頚椎捻挫」とも呼ばれます。
寝違えとむち打ち症の大きな違いは、『寝違え』が「同一部位への継続的な負担により炎症が生じる障害」である事に対し、『むち打ち症』は「追突のような外部からの強力な力により、部位の可動範囲制限を越えてしまうことで発症する障害」です。
人体にある各関節は、一定の可動範囲を超えないような構造になっており、筋肉と骨をつなぐ腱や骨と骨をつなぐ靭帯が可動範囲を制限しています。
むち打ち症は、これらの可動範囲を超えて無理に負荷がかかった場合に、靭帯が損傷・断裂したり、頚部を構成する組織を痛めたり、重度のものになると、椎間板や靭帯の損傷、剥離骨折、脊髄にまで影響が及びます。

また、軽い追突で強打もせず、外傷が無かったとしても、時間が経ってから頚部に違和感が出て、肩こりや首の重だるさ、頭を動かした時の首の痛み、頭痛、吐き気、目眩がしてきたりと、不快な症状に見舞われることもあります。
むち打ち症は、自動車の追突事故のような大きなケースだけに限らず、階段での転倒や落下、ジェットコースターなどの乗り物に乗っても、想像以上のダメージが頸部にかかり、むち打ち症になることがあります。
むち打ち症により併発する症状としては
1位 :頭痛
2位: 肩こり
3位: 首の痛み
4位: 体がだるい
5位: 目がかすむ
6位: 吐き気
7位: 耳鳴り
したがって、まずは病院にて検査をお勧めします。検査で問題なければ、骨のズレを調節するための施術を受けてみてはいかがでしょうか。
![]() |
![]() |
![]() |
← |
Instagramにも施術動画を多く挙げています。どのような施術かご参考までにご覧ください。 |

HALOカイロプラクティック☆平和島整体院では、骨盤(仙腸関節)から背骨(腰椎、胸椎、頸椎)、肋骨(肋椎関節)、肩甲骨(肩甲胸郭関節)などを調整し緩めることで、首(頚椎)にかかる負担を取り除き、可動域を良くして痛みを解消していきます。
首や肩周りの症状では、肩甲胸郭関節(肩甲骨周辺)を調整することは必須です。
寝違えやムチ打ちは、速効矯正・即効施術の【体の整体】の適応になります。
もし、どこへ行っても一向に良くならないとお悩みなら、是非、HALOカイロプラクティック☆平和島整体院へお気軽にご相談ください。
![]() |
![]() |